Appointments:
Mo. - Th.: 08:00 - 15:00 Uhr
Fr.: 08:00 - 13:00 Uhr
Outpatient Appointments:
Tel.: 0391/67-15529
Fax.: 0391/67-21407
Centralized Patient Management:
0391/67-21401
Parathyroid Glands
The parathyroid glands are hormone-producing glands about the size of a lentil, located in the neck area behind the thyroid gland. As a rule, humans have four parathyroid glands. They produce parathyroid hormone, which regulates the concentration of calcium in the body.
Primary hyperparathyroidism
The most common disease of the parathyroid glands is primary hyperparathyroidism with an overproduction of parathyroid hormone. The cause in approx. 85% of cases is a benign tumor of a single parathyroid gland (parathyroid adenoma).
The diagnosis is often discovered incidentally during routine blood work by an elevated calcium level. By detection at an earlier stage of the disease, patients are often without definite symptoms, but severe prolonged primary hyperparathyroidism can lead to kidney stones, osteoporosis and gastric ulcers ("stone, leg and stomach pein"). For localization diagnosis of the altered parathyroid gland, an ultrasound and, if necessary, an additional parathyroid scintigraphy are performed.

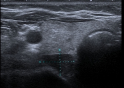
Parathyroid adenoma on ultrasound Parathyroid adenoma
Surgery with removal of the pathologically altered parathyroid gland is the only curative treatment. Since it is usually only a single enlarged parathyroid gland, surgery can be performed with a minimal skin incision in the lower neck.
Secondary hyperparathyroidism is when the body loses calcium or phosphate due to other diseases (e.g. chronic renal failure). The parathyroid glands then increase the production of parathyroid hormone to compensate for the loss by increasing the release of calcium and phosphate from the bone. In this case, all parathyroid glands are usually affected.
Secondary hyperparathyroidism is usually treated with medication for a longer period of time. If drug therapy is no longer sufficient to control the symptoms or if a kidney transplant is pending, 3 ½ of the 4 parathyroid glands that are usually present are removed.
We routinely perform an intraoperative parathyroid hormone test and fine tissue frozen section examinations during every parathyroid surgery. These procedures serve to ensure the success of the operation.
To protect the vocal cord nerve, we use neuromonitoring and operate using magnifying glasses.
